01
日本製で唯一※1
ガンマ線滅菌済の歯間ブラシ
医療機器と同じガンマ線滅菌※2を採用。お口の衛生に気を配っている方に特に気に入っていただいています。
開封時まで無菌状態を保つ
滅菌処理された歯間ブラシ
歯間ブラシを歯科医療従事者の皆さまに
お届けして約50年。
「ルミデントシリーズ」は
皆さんのお声に耳を傾けながら、
素材・製造・品質の細部までこだわりました。
国産ならではの信頼性と使いやすさで
「丈夫で折れにくく、安心して患者さんに
勧められるように」
という想いを1本1本に込め、形にしました。
一見普通の歯間ブラシ。
でも歯科医院でしか手に入らない
プロフェッショナルクオリティー。
歯間ブラシを通じて、健康を皆さまにお届けします。
医療機器と同じガンマ線滅菌※2を採用。お口の衛生に気を配っている方に特に気に入っていただいています。
ルミデントは、国際規定ISO13485を取得した各種医療機器を取り扱う国内工場で製造しています。
滅菌された歯間ブラシは、お使いいただくまで無菌状態を保ちます。また、必要な分だけ小分けして、携帯・保管が可能です。
一本毎にキャップがついているので、衛生的で携帯にも便利です。
キャップをハンドルの後端に装着し、延長ハンドルとすることで、より持ちやすくなります。
キャップにも抗菌樹脂を採用しています。
歯間ブラシ専用に開発された超硬ステンレスワイヤーを使用し、極細と強いワイヤーを両立させ、優れた操作性と耐久性のあるブラシを実現しました。
「丈夫で折れにくい」ためブラシは長持ちし、経済的でありながら効果的なパフォーマンスを発揮します。
超硬ステンレスワイヤーと以前のワイヤーとの比較テストで耐久性の良さが評価されました。
耐久性の高いワイヤーをウレタンコートでコーティングした強くてやさしい歯間ブラシ。
補綴物を傷つけにくくすると同時に歯肉にも優しく患者さんにもおすすめしやすい歯間ブラシです。
キャップを延長ハンドルとして
使用した時は
全長約90mmの長さとなり
持ち手が
延長できる事により、
握った時に安定感が生まれます。
奥歯にも届きやすく、隅々までしっかりと
お手入れが可能です。
様々な患者さんに対応できるよう豊富な種類を
ご用意しています。
サイズ・種類はカラーコードされているため、
リピート注文時も迷いません。
歴代の歯間ブラシ開発からヒントを得て、
使いやすさと口腔内ケアに重点をおいて
考え抜かれた設計を独自に考案。
手にフィットしやすい「スワンハンドル」と
90°の角度に曲がった「ライトアングル」
を組み合わせる事で
ブラシの位置決めを容易にします。
口腔内ケアに一番適した植毛部の長さを追求し、
臼歯部の頬側・舌側どちらからでも
無理なく挿入ができるようにしました。
ルミデント歯間ブラシの元祖と言える
モデルを発売してから、約50年。
常に、時代とお客様の要望にあわせて
製品改良してきました。
ルミデント歯間ブラシの元祖と言えるモデル。
サイズも 1 種類で現在では、やや大きめで補綴装置が口腔内にある患者向けに発売された。
現在のルミデントの原型となるモデル。サイズ別にカラーリングされており、マイデントと比較して「Sサイズ」もラインナップに加わったため、使用範囲は拡大。
歯間ブラシのネック部分を、現在の「フレキシブルネック」に改良。歯ブラシだけの歯垢除去率が 60-70%と話題になり、歯間ブラシを併用して 90%以上になることが DATA から認知が急速に向上。ルミデント歯間ブラシが一気にブレイクしたモデル。1988年には、更に細いタイプをという患者さんのために「SS」をラインナップ。
細くても折れにくい歯間ブラシを目指し、ワイヤーをスーパーワイヤーに変更。ワイヤー変更により、歯間部の小さい患者向けに 0.7mm の最小通過径の「US」発売。その後 2012 年に 0.6mm の最小通過径を持つ「XS」も発売。
ブラシ部分を交換できる差し替えタイプの進化系の歯間ブラシ「デンタルン歯間ブラシ」を開発。歯間ブラシはディスポの概念が根強く使い捨てタイプが好まれたので再度ユーザーボイスを調査。
ワイヤー部分にウレタンコーティングする事で、インプラントとワイヤーが接触することによるガルバニック電流の発生を防いだ。ハンドルにラメの入った特殊デザインでファッショナブルに見えるように企画。
CAD/CAM冠需要拡大に合わせてiP同様、ストレートタイプでもワイヤーをウレタンコーティングして、傷つきやすい保険の CAD/CAM冠をいつまでも審美的に保つために発売された。
種類豊富な20タイプをご用意。
患者さんに合わせてお選びいただけます。
自由な角度に変えられるフレキシブルネックの歯間ブラシ。
樹脂部分から曲げて使用できるため折れにくく、様々な患者さんに対応できるよう豊富な種類をご用意しています。
シンプルなデザインで、サイズ・ラインナップの多さが人気。
フレキシブルネックで曲げたい角度に自由に曲げられます。
前歯部、臼歯部のどの角度にもジャストフィットで挿入可能。
歯間ブラシ専用に開発された超硬ステンレスワイヤーを採用。
丈夫で折れにくく、安心して患者さんに薦められる歯間ブラシです。
プラークを除去するのに十分な毛量を設定し、柔らかさと弾力を実現しました。
豊富な8種類から選べて、患者さんの歯間の大きさにあわせてお使いいただけます。
![]() |
![]() |
![]() |
![]() |
![]() |
![]() |
![]() |
![]() |
|
| サイズ | XS | US | SS | S | M | Mハード | L | Lハード |
| ハンドルカラー | レッド | ピンク | ホワイト | イエロー | ブルー | グリーン | オレンジ | コバルトブルー |
| ブラシ形態 | ||||||||
| 超極細コーン | 超極細コーン | 極細コーン | 細型シリンダー | コーン | コーン | 太型シリンダー | 太型シリンダー | |
| 最小通過径 | 0.6mm | 0.7mm | 0.8mm | 1.2mm | 1.8mm | 2.0mm | 2.0mm | 2.3mm |
| ブラシ径(A~B) | 1.7〜1.9mm | 1.8〜2.0mm | 2.0〜3.0mm | 2.6〜2.6mm | 3.0〜6.0mm | 3.0〜6.0mm | 6.0〜6.0mm | 6.0〜6.0mm |
| パッケージ | ![]() |
![]() |
![]() |
![]() |
![]() |
![]() |
![]() |
![]() |
ワイヤーにウレタンコートを採用し、歯と歯ぐきに優しい歯間ブラシです。
傷から発生するステイン沈着による変色を防ぎ、審美性を持続させます。
保険適用されたCAD/CAMインレー(MOインレー、ODインレー、MODインレー)症例にもおすすめ。
ワイヤーをウレタンコートする事で天然歯や補綴物、歯周組織へのダメージに配慮しました。
ウレタンコート処理は歯肉への当たりが優しく、負担を軽減します。
CAD/CAM冠などの補綴物セット後もこれ1本でメンテナンス可能です。
フレキシブルネックで曲げたい角度に自由に曲げられます。
前歯部、臼歯部のどの角度にもジャストフィットで挿入可能です。
![]() |
![]() |
![]() |
![]() |
|
| サイズ | US | SS | S | M |
| ハンドルカラー | ピンク | ホワイト | イエロー | ブルー |
| ブラシ形態 | ||||
| 超極細コーン | 極細コーン | 細型シリンダー | コーン | |
| 最小通過径 | 0.7mm | 0.8mm | 1.2mm | 1.4mm |
| ブラシ径(A~B) | 1.8〜2.0mm | 2.0〜3.0mm | 2.6〜2.6mm | 3.0〜4.0mm |
| パッケージ | ![]() |
![]() |
![]() |
![]() |
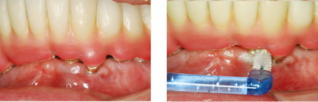
ライトアングルヘッドとスワンハンドルで使いやすさを追求した歯間ブラシ。
なだらかな曲線を描くエルゴノミックデザインで持ちやすく、磨きたい歯間の位置へ的確にアプローチできます。
独自のデザインで使いやすさを追及しました。
平らなハンドル形状により余分な回転を防ぎ、安定感のあるハンドル保持が可能です。
ハンドルを持った瞬間にワイヤーの方向が認識できます。
手にフィットしやすい「スワンハンドル」と90°の角度に曲がった「ライトアングル」を組み合わせる事でブラシの位置決めを容易にします。
最後臼歯部遠心部へのアプローチも容易にし、磨き残しを減らします!
口腔内ケアに一番適した植毛部の長さを追求し、臼歯部の頬側・舌側どちらからでも無理なく、スムーズに挿入が可能です。
![]() |
![]() |
![]() |
![]() |
|
| サイズ | US | SS | S | M |
| ハンドルカラー | ピンク | ホワイト | イエロー | ブルー |
| ブラシ形態 | ||||
| 超極細コーン | 極細コーン | 細型シリンダー | コーン | |
| 最小通過径 | 0.7mm | 0.8mm | 1.2mm | 1.4mm |
| ブラシ径(A~B) | 1.8〜2.0mm | 2.0〜3.0mm | 2.6〜2.6mm | 3.0〜4.0mm |
| パッケージ | ![]() |
![]() |
![]() |
![]() |
ワイヤーのウレタンコートに加え、ハンドル部分にラメの特殊デザインを採用。
機能面と見た目を充実させ、毎日のケアが楽しくなる歯間ブラシです。
異種金属の擦れによるガルバニック電流の発生を抑え、インプラントをされている患者さん、歯肉が退縮し金属が露出している患者さんにも適しています。
ラメタイプのハンドルを採用!見た目も可愛くしました。
上品なラメ遣いが毎日のオーラルケアを楽しくします。
患者さんのモチベーションも向上し、ホームケアにおいても歯間ブラシでの清掃を定着させます。
ワイヤーをウレタンコートし、天然歯や補綴物にはもちろん、歯肉組織に対しても傷つけにくくしました。
【インプラントにも対応】
インプラント治療後のメンテナンス、イリゲーションにおすすめです。
インプラント体を傷つけず、歯肉への負担を抑える事ができるため
インプラント周囲炎の予防も期待できます。
また、異種金属の擦れによるガルバニック電流※の発生を抑え快適な清掃を可能にします。
※ガルバニック電流・・・異種の金属間で発生しMgを不活性化させて鎮痛効果を薄らげる不定愁訴の原因になると言われている微量電流
![]() |
![]() |
![]() |
![]() |
|
| サイズ | US | SS | S | M |
| ハンドルカラー | ピンク | ホワイト | イエロー | ブルー |
| ブラシ形態 | ||||
| 超極細コーン | 極細コーン | 細型シリンダー | コーン | |
| 最小通過径 | 0.7mm | 0.8mm | 1.2mm | 1.4mm |
| ブラシ径(A~B) | 1.8〜2.0mm | 2.0〜3.0mm | 2.6〜2.6mm | 3.0〜4.0mm |
| パッケージ | ![]() |
![]() |
![]() |
![]() |
院内で使用法を指導したあと、患者さんにお渡ししたり、1本単位での販売に使用している歯科医院様もございます。
患者さんと一緒に確認しながら指導でき、お持ち帰り頂けます。患者さんがご自宅で、使い方を再確認される際にも便利です。
予防製品の選択は患者さんの個別のニーズや口腔内の状況に応じて行っています。衛生士として、患者さんに最適な予防製品を提案することは、まさに薬を処方すると同じくらい重要な役割だと感じています。
耐久性が良いのか、使い心地が良いのか、理由は詳しくわからないのですが、なぜかリピーターが多い印象がありますね。どの歯間ブラシを患者さんに薦めて良いのか迷っている場合には、先ずはルミデントからお薦めしてみるのが良いと思います。
ルミデントの素晴らしいところは、プラークがよく落ちるという点です。患者さんからは、私たち歯科衛生士に対して感謝の言葉をいただくことがあります。特に、ルミデントのブラシの植毛が密なことにより、プラークを効果的に取り除くことができると喜ばれています。